NMN alleviates lung oxidative damage
Recently, a team of scientists from Sichuan University published an article on Nutrients. They found that after NMN treatment, there were positive changes in lung tissue, and inflammatory cells and inflammatory infiltration were significantly reduced, confirming that NMN can indeed reduce lung injury in mice. Supplementation of NMN may be an effective therapeutic strategy to alleviate silicosis.

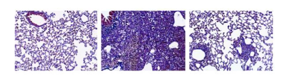
From left to right: normal, silica-injured, and NMN-treated silica-injured lung tissue stained for scarring (purple)
NMN reduces lung tissue damage in silicosis
To mimic silicosis, silica was introduced directly into the trachea of mice. Mice were then treated with saline (meaning no treatment), low-dose NMN (500 mg/kg/day) or high-dose NMN (1000 mg/kg/day). After 28 days, both doses of NMN reduced collagen in the lungs -- indicating less scarring in the lungs. NMN treatment also maintained the structure of the alveoli -- the air sacs in the lungs that exchange oxygen.

Silica particles are nearly impossible to degrade by the body, leading to ongoing damage to the lungs from oxidative stress. This oxidative stress recruits inflammatory cells to the site of injury, inducing more inflammation. However, the researchers found that this cycle of constant attack was stopped by NMN treatment, which restored inflammatory cell levels to near-normal levels after 28 days of treatment.

In addition, the researchers found that both high and low doses of NMN effectively reduced ROS (reactive oxygen species) after 28 days. Additionally, glutathione increased with NMN, suggesting that NMN may help reduce oxidative stress caused by silica.

The final results showed that NMN promoted the synthesis of GSH through the expression of antioxidant genes, thereby clearing ROS and reducing oxidative damage in the lungs.
*Special note - This article is for informational purposes only and cannot replace a doctor's treatment diagnosis and advice. It should not be regarded as a recommendation or proof of efficacy of the medical products involved. If it involves disease diagnosis, treatment, and rehabilitation, please be sure to go to a professional medical institution to seek professional advice.
Tag: NMN Factory, Factory Customization NMN CAS 1094-61-7 Free Sample, China Nmn Powder Bulk manufacturers, 500mg nmn, foods containing nmn, NMN,
by GSHWORLD
GSHWORLD is China Biological API Manufacturer. China NMN Supplements powder suppliers & best NMN benefits raw material Factory.




