NMN maintains gut health
It is well known that Nicotinamide Mononucleotide (NMN) can be converted into nicotinamide adenine dinucleotide (NAD+) in mammals to play physiological roles. The researchers established an experimental model of colitis by studying the drinking water of C57BL/6J mice mixed with dextran sodium sulfate (DSS), giving them the same concentration of NMN while feeding them. To analyze whether NMN could treat DSS-induced gut flora changes, fecal bacteria were detected by 16S-rDNA gene sequencing.
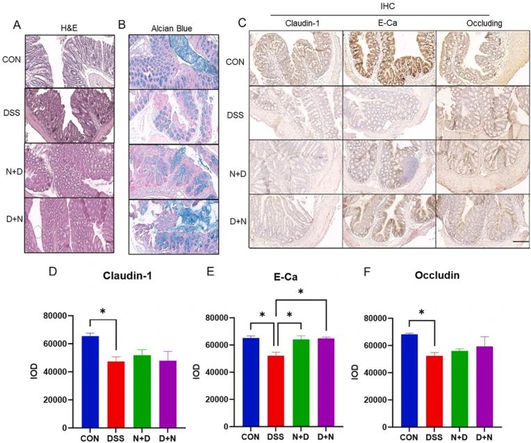
The results showed that the diversity of intestinal flora increased after NMN treatment, which was significantly different from the DSS group. The expression of claudin-1, E-Ca, and Occlusion was significantly decreased in the DSS group, while the expression of both was increased in mice receiving NMN.
In addition, mucus produced by goblet cells in the gut has been shown to form a chemical barrier. The results of Alcian Blue staining showed that the goblet cells and mucus were significantly decreased in the DSS group, while the goblet cells and mucus were significantly increased in the D+N and N+D groups.
In vivo studies also found that the use of NMN could improve intestinal permeability imaging and FD4 detection in IBD patients.

These results all suggest that NMN can improve DSS-induced colitis by reducing inflammation and intestinal permeability and improving intestinal mucosal barrier function. NMN can alleviate the inflammation in DSS-induced colitis mice, repair the mucosal barrier, and improve the disordered intestinal flora.
It can be concluded that NMN may positively affect the balance of intestinal microorganisms by changing the composition of intestinal microorganisms, promoting the growth of beneficial bacteria and inhibiting the reproduction of harmful bacteria. This may help maintain gut health, support immune function and the digestive system.

The intestinal microbiota is very important to the human body. Food decomposition and essential vitamin synthesis all require the cooperation of the microbiota. At the same time, the microbiota can also maintain the integrity of the intestinal wall and regulate human immunity. Due to its importance and powerful potential, the gut microbiota has become a hot spot of attention.
*Special note - This article is for informational purposes only and cannot replace a doctor's treatment diagnosis and advice. It should not be regarded as a recommendation or proof of efficacy of the medical products involved. If it involves disease diagnosis, treatment, and rehabilitation, please be sure to go to a professional medical institution to seek professional advice.
Tag: nmn online, China nicotinamide mononucleotide experience, NAD+improvement Brought By NMN suppliers, Beta-NMN Powder Free Sample, China nicotinamide mononucleotide capsules suppliers, NMN,
by GSHWORLD
GSHWORLD is China Biological API Manufacturer. China NMN Supplements powder suppliers & best NMN benefits raw material Factory.




