Nicotinamide Riboside or a New Whitening Ingredient?
As consumers' demand for health and beauty products grows, the cosmetics industry continues to seek safe and effective ingredients to meet the market. Pigmentation problems caused by excessive melanin production, such as chloasma and age spots, have always been the focus of cosmetic research.
Recently, a Korean research team explored the application potential of nicotinamide riboside (NR) in inhibiting excessive melanin pigmentation after light stimulation. Perhaps NR can be used as an emerging whitening ingredient.
1. What is NR?
Nicotinamide Riboside (NR) is one of the precursors of nicotinamide adenine dinucleotide (NAD+), which is a very important and essential component in organisms.
2. Latest NR research conclusions
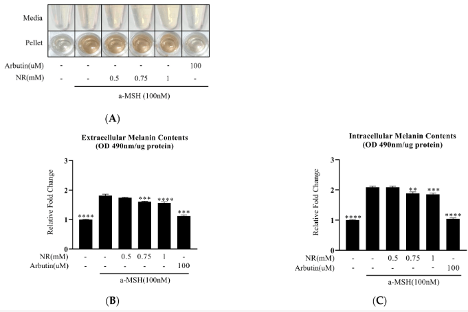
① NAD+ precursor NR can inhibit melanin production, especially in B16F10 cells (a melanocyte cell line) when exposed to a specific dose of NR under the action of α-melanocyte stimulating hormone (α-MSH).

②NR inhibited the activity of tyrosinase, a key step in melanin production, but did not change the expression level of melanin production genes.
③Ultraviolet B (UVB) radiation directly stimulated HaCaT cells (a keratinocyte cell line) to induce RNA expression of metalloproteinases. NR treatment was able to inhibit the expression of these genes and reduce cytotoxicity.
The study showed the possibility of NR as a new whitening ingredient because it has an inhibitory effect on excessive pigmentation and can protect skin cells from damage by UVB radiation and reduce the expression of metalloproteinases, thereby maintaining the health and integrity of the skin.
The functional effects of NR may make it a new choice for whitening and anti-aging products. In the future, researchers may further explore the effects and optimal application concentrations of NR in different cosmetic formulations to develop more efficient and safer cosmetics.
The research content and pictures are from the following references:
[1] Lee Y J, Jang S G, Ryu M J, et al. Nicotinamide Riboside Ameliorates Hyperpigmentation on Photo-Irradiated Skin[J]. Cosmetics, 2024, 11(3): 73.
*Special note - This article is for informational purposes only and cannot replace a doctor's treatment diagnosis and advice. It should not be regarded as a recommendation or proof of efficacy of the medical products involved. If it involves disease diagnosis, treatment, and rehabilitation, please be sure to go to a professional medical institution to seek professional advice.
Tag: nicotinamide riboside and nicotinamide mononucleotide, nicotinamide riboside nmn, nicotinamide mononucleotide riboside, nicotinamide mononucleotide and nicotinamide riboside,
by GSHWORLD
GSHWORLD is China Biological API Manufacturer. China Nicotinamide Riboside Supplements powder suppliers & best Nicotinamide Riboside benefits raw material Factory.





